الرئيسية
الأخبار
مقالات
مقابلات
ثقافة وفن
حوادث
عالم المرأة
رياضة
اقتصاد
أعلام ومعالم
أنباء دولية
اتصل بنا
admin1
الأخبار
admin1
13 يونيو، 2023
الوزير الأول يتوجه إلى داكار للمشاركة في المؤتمر الدولي للشفافية في الصناعات الاستخراجية
الأخبار
admin1
11 يونيو، 2023
الفوج الثاني من الحجاج الموريتانيين يغادر إلى الديار المقدسة نواكشوط
أنباء دولية
admin1
11 يونيو، 2023
الاتحاد الأوروبي يقدم لتونس “هذا العام 100 مليون يورو
رياضة
admin1
11 يونيو، 2023
الأهلي يتعادل مع الوداد ويخطف لقب دوري أبطال إفريقيا
ثقافة وفن
admin1
11 يونيو، 2023
خروج فيلم محمد رمضان من سباق عيد الأضحى
الأخبار
admin1
11 يونيو، 2023
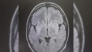
المستشفى العسكرية: التمكن من إجراء عملية تفتيت جلطة دماغية لأول مرة في موريتانيا
الأخبار
admin1
11 يونيو، 2023
وزير الزراعة : الوزارة عاكفة على تذليل كل الصعاب والنواقص بغية استغلال المقدرات الوطنية في مجال الزراعة بشقيها المطري والمروي
الأخبار
admin1
11 يونيو، 2023
موريتانيا تشارك في أعمال المؤتمر العاشر لرجال الأعمال العرب و الصينيين بالرياض الرياض
الأخبار
admin1
11 يونيو، 2023
وصول الفوج الاول من حجاجنا الميامين إلى المدينة المنورة المدينة المنورة
الأخبار
admin1
10 يونيو، 2023
السيدة الأولى : المرأة الموريتانية حققت مكاسب متعددة طيلة مسار الدولة الوطنية
الصفحة السابقة
الصفحة التالية